Douleur derrière le genou : causes possibles et traitement
Douleur derrière le genou : découvrez les causes possibles (kyste de Baker, tendinite, lésion du ménisque) et les traitements chez votre rhumatologue à Constantine.
DOULEUR DU GENOU
Dr. Mohamed Karim DEMMAK ,Rhumatologue Constantine
3/16/20263 min read


Douleur derrière le genou : causes possibles
La douleur derrière le genou, appelée également douleur du creux poplité, est un symptôme relativement fréquent.
Elle peut apparaître lors de la marche, lors de la flexion du genou ou même au repos.
Cette douleur peut avoir plusieurs causes, allant d’un simple problème musculaire à une pathologie articulaire plus importante.
Au cabinet de rhumatologie du Dr Mohamed Karim Demmak à Constantine, un examen clinique permet d’identifier l’origine de la douleur et de proposer un traitement adapté.
Où se situe la douleur derrière le genou
La douleur derrière le genou se localise dans la zone appelée creux poplité, située à l’arrière de l’articulation.
Cette région comprend plusieurs structures :
muscles
tendons
ligaments
vaisseaux sanguins
articulation du genou
Une atteinte de l’une de ces structures peut provoquer une douleur dans cette zone.
Les causes les plus fréquentes de douleur derrière le genou
Plusieurs pathologies peuvent être responsables de cette douleur.
Kyste de Baker
Le kyste de Baker est l’une des causes les plus fréquentes de douleur derrière le genou.
Il correspond à une accumulation de liquide articulaire dans le creux poplité.
Les symptômes peuvent inclure :
gonflement derrière le genou
sensation de tension
douleur lors de la flexion du genou
Lésion du ménisque
Une lésion du ménisque peut également provoquer une douleur derrière le genou.
Les ménisques sont des structures cartilagineuses qui amortissent les chocs dans l’articulation.
Les symptômes peuvent être :
douleur lors de la marche
blocage du genou
gonflement articulaire
Tendinite des muscles ischio-jambiers
Les tendons des muscles ischio-jambiers, situés à l’arrière de la cuisse, peuvent être inflammés.
Cela peut provoquer :
douleur à l’arrière du genou
douleur lors de la flexion
douleur pendant l’activité sportive
Arthrose du genou
Dans certains cas, une arthrose du genou peut également provoquer une douleur dans la région postérieure de l’articulation.
👉 Lire aussi : Arthrose du genou (gonarthrose)
Quels sont les symptômes associés
Selon la cause, la douleur derrière le genou peut s’accompagner de :
gonflement du genou
sensation de tension derrière le genou
difficulté à plier la jambe
douleur lors de la marche
raideur articulaire
Lorsque ces symptômes persistent, une consultation médicale est recommandée.
Comment diagnostiquer une douleur derrière le genou
Le diagnostic repose sur :
Examen clinique
Le rhumatologue examine l’articulation du genou et la mobilité de la jambe.
Examens complémentaires
Certains examens peuvent être prescrits :
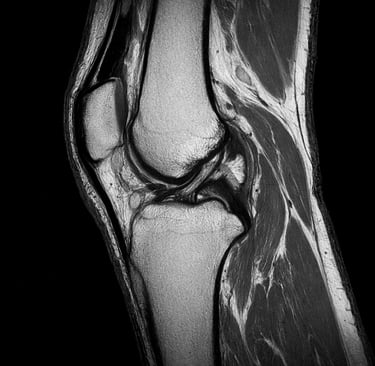
échographie du genou
radiographie
IRM du genou
Ces examens permettent d’identifier la cause de la douleur.
Quels sont les traitements possibles
Le traitement dépend de la cause de la douleur.
Les options peuvent inclure :
Repos et modification des activités
Réduire les activités physiques peut permettre de diminuer la douleur.
Traitement médicamenteux
antalgiques
anti-inflammatoires
Rééducation fonctionnelle
Des exercices spécifiques peuvent renforcer les muscles autour du genou.
Infiltrations
Dans certains cas, des infiltrations peuvent être proposées pour réduire l’inflammation.
Quand consulter pour une douleur derrière le genou
Il est conseillé de consulter lorsque :
la douleur persiste plusieurs jours
un gonflement apparaît derrière le genou
la marche devient difficile
le genou se bloque
Un diagnostic précoce permet d’éviter l’aggravation de la pathologie.
Consultation de rhumatologie à Constantine
Si vous souffrez d’une douleur derrière le genou, une consultation spécialisée peut permettre d’identifier rapidement la cause et de proposer un traitement adapté.
Le cabinet de rhumatologie du Dr Mohamed Karim Demmak à Constantine prend en charge les pathologies articulaires et les douleurs de l’appareil locomoteur.
👉 Pour en savoir plus :
Douleur du genou




74 Rue Barkat Lakhdar Bellevue - Constantine


Cabinet Médical de Rhumatologie
Dr. Mohamed Karim DEMMAK


© 2026 Cabinet de Rhumatologie Dr Mohamed Karim DEMMAK - Tous droits réservés
Rhumatologue à Constantine – Consultation des maladies des os, articulations et rhumatismes.
